Categoria Archives: Blog
A categoria do seu blogue
Explorando a escoliose canina: Estratégias de diagnóstico e cuidados para cães afectados
Saiba mais sobre a escoliose canina, o seu diagnóstico e estratégias de tratamento para cães afectados. Descubra como [...]
Cinta de Milwaukee para escoliose: Compreender o seu papel no apoio e correção da coluna vertebral
Descubra como o Milwaukee Brace ajuda a apoiar e a corrigir a escoliose, assegurando um alinhamento correto da coluna [...]
Compreender a escoliose da anca: A ligação entre a curvatura da coluna vertebral e a dor na anca
Descubra a relação entre a dor na anca e a escoliose. Compreender a escoliose da anca para [...]
Lordose vs Cifose vs Escoliose: Comparação dos diferentes tipos de curvaturas da coluna vertebral
Saiba mais sobre as diferenças entre lordose, cifose e escoliose - três tipos comuns de problemas na coluna [...]
Compreender a tração na escoliose: Técnicas e aplicações para apoio da coluna vertebral
Saiba mais sobre as técnicas de tração para escoliose e como estas podem proporcionar apoio à coluna vertebral. Descubra as aplicações [...]
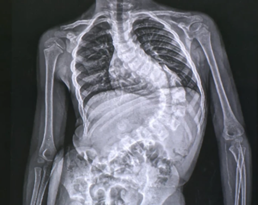
Escoliose e problemas cardíacos: Explorando o impacto da curvatura da coluna vertebral na saúde cardiovascular
Descubra como a escoliose afecta a saúde do coração. Explore a ligação entre a curvatura da coluna vertebral e os problemas cardiovasculares.
Pós-cirurgia de escoliose: O que esperar da recuperação e da reabilitação
Recupere e ganhe força após uma cirurgia à escoliose com o nosso guia completo. Saiba o que esperar [...]
Cinta de costas para escoliose postural: Melhorar o alinhamento da coluna vertebral e a correção da postura
Melhore a postura e corrija a escoliose com a nossa cinta de costas para um melhor alinhamento da coluna vertebral. Diga adeus [...]
Escoliose Dextro e Levo: Compreender as diferenças nas direcções da curvatura da coluna vertebral
Saiba mais sobre as diferenças entre escoliose dextro e levo, dois tipos de curvatura da coluna vertebral, e [...]
A escoliose é mais comum no sexo feminino? Analisar as diferenças de género na curvatura da coluna vertebral
Descubra se a escoliose afecta mais as mulheres. Explore as disparidades de género na curvatura da coluna vertebral e obtenha informações [...]
