Kategorie-Archive: Blog
Ihre Blog-Kategorie
Umgang mit 16-Grad-Skoliose: Behandlungsansätze und Managementstrategien
Managing 16 Degree Scoliosis: Treatment Approaches and Management Strategies provides a comprehensive guide for healthcare [...]
Rheumatoide Arthritis - Skoliose: Der Zusammenhang und die Behandlungsmöglichkeiten
Arthritis and scoliosis are two distinct conditions, but they can often be interconnected. Scoliosis, a [...]
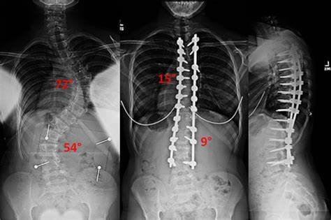
Doppelte Skoliose-Kurve: Diagnose, Behandlungsmöglichkeiten und Management
Die doppelte Skoliosekrümmung bezieht sich auf einen Zustand, bei dem sich die Wirbelsäule in zwei verschiedene Richtungen krümmt. [...]
Skoliose bei Erwachsenen über 70: Verständnis der Auswirkungen und Behandlungsmöglichkeiten für altersbedingte Skoliose
Erfahren Sie mehr über altersbedingte Skoliose bei Erwachsenen über 70: Auswirkungen und Behandlungsmöglichkeiten. Gewinnen Sie Einblicke [...]
Ist eine leichte Skoliose eine Invalidität? Bewertung des Invaliditätsstatus und der Leistungen
Eine leichte Skoliose, die durch eine leichte Krümmung der Wirbelsäule gekennzeichnet ist, wird oft als [...]
Ist Skoliose eine Behinderung? Rechtliche und medizinische Sichtweisen
Skoliose, eine Erkrankung, die durch eine abnorme Krümmung der Wirbelsäule gekennzeichnet ist, wirft Fragen über ihre [...]
Kann Skoliose einen Bandscheibenvorfall verursachen? Die Risiken und Zusammenhänge verstehen
Skoliose, eine Erkrankung, die durch eine abnorme Krümmung der Wirbelsäule gekennzeichnet ist, kann potenziell zu [...]
Dextrose-Skoliose: Untersuchung der Rolle und der möglichen Vorteile
Dextrose, ein Einfachzucker, hat in den letzten Jahren wegen seiner potenziellen Vorteile für die [...]
Thorokolumbale Skoliose: Ursachen, Symptome und Behandlungsmöglichkeiten kennenlernen
Die thorakolumbale Skoliose ist eine Erkrankung, die durch eine abnorme seitliche Krümmung der Wirbelsäule in [...]
Thorakogene Skoliose: Ursachen, Diagnose und Behandlungsansätze
Die thorakogene Skoliose, eine Skoliose, die durch eine Thoraxoperation oder eine Strahlentherapie verursacht wird, ist [...]
