Kategorie-Archive: Blog
Ihre Blog-Kategorie
Wie die Risser Score Skoliose Behandlung: Ein umfassender Überblick
Learn how the Risser Score influences scoliosis treatment. This comprehensive guide provides valuable insights for [...]
Skoliose und Lebenserwartung: Wie die Wirbelsäulenverkrümmung die langfristige Gesundheit beeinflusst
Discover how scoliosis affects life expectancy. Explore the impact of spinal curvature on long-term health.
Skoliose und Traktion: Die Rolle der Traktion bei der Behandlung von Wirbelsäulenverkrümmungen verstehen
Learn how traction can help manage scoliosis, a spinal curvature condition. Discover its role in [...]
Chiropraktiker und Skoliose: Modernste medizinische Ausrüstung zur Unterstützung wirksamer Behandlungen
Discover how chiropractors use cutting-edge medical equipment to provide effective treatments for scoliosis. Find relief [...]
Skoliose und Atembeschwerden: Wie sich die Wirbelsäulenverkrümmung auf die Atmungsfunktion auswirkt
Discover how scoliosis affects breathing. Understand the link between spinal curvature and respiratory function. Find [...]
Tethering-Skoliose: Innovative nicht-fusionierende Techniken für eine wirksame Skoliosekorrektur
Discover innovative non-fusion techniques for effective scoliosis correction with tethering. Explore advanced solutions for spinal [...]
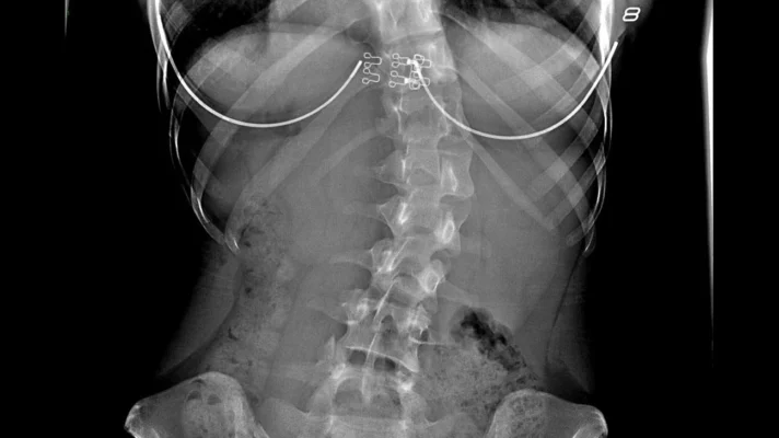
Verstehen der Risser-Skala Skoliose: Beurteilung von Wachstum und Verkrümmung der Wirbelsäule
Learn about the Risser Scale in scoliosis, a crucial tool for evaluating spinal growth and [...]
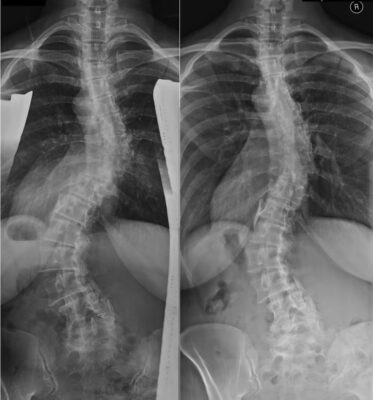
Wie man ein Röntgenbild einer leichten Skoliose interpretiert: Frühe Anzeichen einer Wirbelsäulendeformität erkennen
Learn how to interpret a minor scoliosis X-ray and spot early signs of spinal deformity. [...]
Shamar-Skoliose verstehen: Merkmale und Diagnose dieses einzigartigen Zustands
Learn about Shamar Scoliosis: its distinct features and diagnostic methods. Gain insights into this rare [...]
Core-Übungen für Skoliose: Stärkung der Wirbelsäule durch gezieltes Training
Strengthen your spine and combat scoliosis with targeted core exercises. Improve posture and stability for [...]
